본문 바로가기

영상의학과

골밀도 검사

골밀도 장비 소개
Horizon W 장비 사진

HOLOGIC사의 Horizon W 장비로 Narrow Fan Beam과 Smartscan 기능을 더한 최첨단 골밀도 측정기입니다. 빠른 시간 내에 방사선 피폭을 최소화하여 안전하고, 정확하게 검사할 수 있는 장비입니다.

골밀도 검사란?
Bone Mineral Densitometry : BMD 사진

골밀도 검사 (Bone Mineral Densitometry : BMD)는 골다공증의 진단, 골절 위험인자의 예측, 질병 치료의 효과를 관찰하기 위해 골밀도를 측정하는 검사입니다.
가장 일반적으로 사용하는 검사방법은 이중 X-선 흡수 측정법(Dual Energy X-ray Absorptiometry ,DEXA scan)-LICI.
이 비침습적 방사선검사는 요추, 대퇴근위부의 질량과 밀도를 측정함으로써, 골다공증 치료 여부를 판단하는 객관적인 지표가 되며, 골다공증의 위험 요인들을 가지고 있는 사람들에게서 치료효과를 판정하는 자료가 됩니다.
특히 암환자들은 수술이나 방사선 치료, 항암화학요법, 장기적 침상생활로 뼈가 약해져 골다공증 위험도가 높아지므로 주기 적인 검사가 필요합니다.

골밀도 검사의 적응증
  • 65세 이상의 여성
  • 45세 이하의 조기 폐경 여성
  • 폐경전후의 저체중, 골절병력, 골다공증 유발약제 복용 등 위험인자를 가진 사람
  • 70세 이상의 남성
  • 70세 이하의 남성 중 골절의 위험 인자를 가진 사람
  • 저골량 또는 골손실과 관련된 질환을 가진 성인
  • 현재 치료중이거나 치료효과를 추적하려는 사람
  • 움직이지 못하게 고정된 상태의 장기 입원자
  • 혈액 검사 상 골파괴 수치가 높은 경우
  • 음주와 흡연을 하고 있는 경우
  • 비타민 D가 부족한 경우
  • 만성염증질환자
  • 스테로이드제를 복용하는 경우
골밀도 검사의 금기증
  • 임신한 여성 (방사선의 위험)
  • 최근 조영제를 이용한 검사를 받았던 경우(경구 투여 후 6~7일 이후 검사 가능)
  • 최근 핵의학 검사를 받았던 경우(방사선 동위원소에 따라 6~7일 이후 검사 가능)
  • 예상검사 시간 동안 검사대에 누워있지 못하는 경우
  • 심한 척추 변형이 있는 경우
  • 요추와 대퇴부에 인공물이 삽입된 수술자
골다공증이란?

골다공증이란 나이가 들어감에 따라 우리 모두에게 일어나는 뼈가 얇아지고 약해지는 현상을 말합니다.
이러한 뼈의 약화를 그대로 방치하면 우리의 골격은 매우 약해져서 작은 충격에도 부서지는 즉, 골절이 쉽게 일어납니다.
일반적으로 여성은 남성보다 골다공증에 걸릴 위험성이 더 높습니다. 여성은 폐경에 따라 에스트로겐 생산량이 감소되고, 이로 인해 골량이 급격하게 감소하기 때문입니다.

골다공증의 증상 및 진단
골다공증의 증상 및 진단을 설명하는 사진

골절이 없는 골다공증은 증상이 없는 것이 특징이어서 "소리 없이 찾아오는 침묵의 질환" 이라고 불립니다. 증상은 골절이 발생함으로써 생기게 되는데 엉덩이뼈, 척추, 손목뼈에서 잘 발생합니다. 보통 젊은 사람에 비해 얼마나 뼈가 부족한가를 측정하게 되고 이를 T-값 이라고 합니다.
T-값은 젊은 성인에게서는 0이 정상인데, 2.5 이하인 경우 골다공증이라는 진단을 내리게 됩니다.
T-값이 -2.5일 때 건강한 60세 여성에서 10년 이내에 골절이 발생할 확률이 20%를 넘게 됩니다.

골다공증 예방 및 관리를 위한 생활 수칙
골다공증 예방 및 관리를 위한 생활 수칙
  • 평소 충분한 양의 칼슘을 섭취하도록 노력합니다.
  • 무리가 되지 않는 범위 내에서, 꾸준한 유산소 운동 및 근력운동을 실시합니다.
  • 폐경기의 여성은 여성호르몬을 지속적으로 보충해 줍니다.
  • 일상생활에서 넘어지지 않도록 주의 합니다.
  • 골다공증 진단을 받은 경우에는 지속적인 치료와 관리가 요구되므로 주치의와의 꾸준한 상담이 중요합니다.

유방 영상 검사

유방 영상 검사란?

유방 촬영 검사는 X선을 이용해 유방 내부 조직을 촬영함으로써 혹, 석회화, 종괴 등의 병변을 파악하는 방사선 검사입니다.
특히, 자가진단이나 촉진으로 발견하기 어려운 미세 병변도 확인할 수 있어 유방암 예방과 조기 치료에 매우 중요합니다.

유방 영상 장비
Selenia Dimensions 장비 사진

미국 Hologic사의 디지털 유방촬영장비 Selenia Dimensions은 1360만 고해상도의 고성능 디텍터를 탑재한 최신 장비로 미세 병변까지 정밀하게 영상화 할 수 있는 세계 최고 수준의 유방 촬영 장비입니다. 영상의 질이 매우 우수함에도 불구하고 환자가 받는 방사선량은 최소화 되었으며, 검사 시 통증을 줄여 편안하고 안전한 검사가 가능합니다.
또한 치밀 유방에서도 유방암 발견율이 매우 높아 정확한 진단과 조기 발견에 큰 도움을 주는 장비입니다. 특히 입체적 정위 생검술(Stereotactic Biopsy) 기능이 추가되어 유방 이상 병변에 대한 보다 정확하고 빠른 시술로 정확한 진단과 폭넓은 검사가 가능합니다.

유방 검사 검사 방법

검사 소요시간은 약 5~10분 정도입니다.

  1. 양측 유방을 각각 다른 방향으로 2번씩 총 4회 촬영합니다.
  2. 유방 검사는 압박판을 사용하여 유방을 충분히 압박 하여 촬영합니다.
    • 압박의 필요성 : 환자의 방사선 피폭 감소, 영상의 질(Quality) 향상(유방암을 더 잘 발견할 수 있음)
    • 유방 압박으로 인한 통증이 있을 수 있습니다.
  3. 유방 확대검사, 보형물 유방 등의 다양한 검사가 가능합니다.
유방 영상 촬영유방 영상 촬영 사진
정상 유방 영상정상 유방 영상 사진
유방 촬영 검사 시 주의 사항
  1. 유방수술(성형 또는 절제) 유무, 임신가능성, 수유중인지 또는 가슴에 멍울이 만져지는지를 반드시 검사전에 담당 의사 또는 촬영기사에게 얘기해 주십시오.
  2. 30대 이하의 여성이나 임신 중 여성은 유방촬영을 하지 않는 것이 좋으며 수유 중인 여성은 유선이 매우 발달되어 유방촬영술에서 예민도가 떨어질 수 있으므로 추가검사가 필요할 수 있습니다.
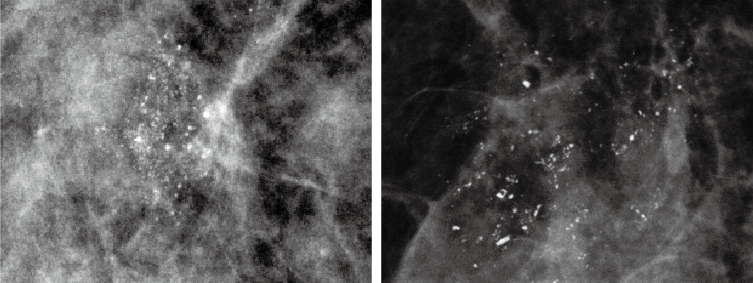
양성 석회화의 특징
양성 석회화의 특징 사진

유방암과 관련 없는 칼슘 침착으로, 대개 크기가 크고 뚜렷 하게 보이며 모양이 깨끗한 1~2개의 석회질로 나타납니다.
염증, 모유 수유 후 찌꺼기, 혈관 등 다양한 원인으로 발생할 수 있습니다.

미세 석회화의 특징
미세 석회화의 특징 사진

미세 석회화는 유방 촬영술에서 보이는 칼슘 침착으로, 대부분 은 양성이지만 악성 가능성도 있어 유방암 조기 진단에 중요한 지표입니다.
미세 석회화는 유방암 초기 단계에 나타날 수 있으므로, 유방 촬영술로 발견 시 반드시 추적 검사가 필요하며, 그 모양과 분포에 따라 악성 여부를 평가하게 됩니다.
작고 흩어져 있거나 군집을 이룬, 육안으로 확인이 어려울 수 있는 석회화로, 일부는 악성(암)일 가능성이 있어 반드시 조직 검사가 필요합니다.

입체적 정위 생검술(STX : Stereotactic Biopsy)
 입체적 정위 생검술(STX : Stereotactic Biopsy) 사진

유방촬영술에서 보이는 병변(석회화 또는 종괴) 중 조직검사가 필요한 병변에 대하여 입체정위술의 원리를 이용하여 정확한 위치를 찾아낸 후 진공 보조 생검용 바늘을 이용하여 조직을 채취하기 위한 목적의 검사입니다.
시술시간이 30분 이내로 짧고, 외과적 절개술을 하지 않고 조직검사가 가능하여 빠른 일상 회복이 가능하며 시술 부위도 0.5cm 정도의 최소한의 흔적만 남는 장점이 있습니다.

인터벤션

인터벤션(중재적시술) 이란?
인터벤션(중재적시술) 설명 사진

인터벤션은 영상의학과의 한 분야로, X-선, CT, 초음파(USG), 혈관조영장치 등 첨단 영상장비를 이용해 몸속을 실시간으로 관찰하면서 질병을 진단하고 치료하는 최소 침습적 시술 분야 입니다.
가는 바늘이나 미세한 관(카테터)을 피부의 작은 구멍을 통해 몸속에 삽입하여 막힌 혈관을 뚫거나, 암에 항암제를 직접 주입하고, 담도를 배액하는 등 기존의 수술로는 해결하기 어려 웠던 다양한 질환을 치료할 수 있습니다.
즉, 큰 절개 없이 통증과 회복 부담을 최소화하면서도 높은 치료 효과를 기대할 수 있는 첨단 치료 기술입니다.

방사선 색전술 TARE

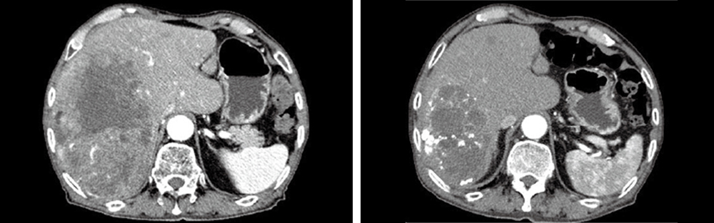
70세 여자 환자 7cm 간암 방사선 색전술 후 PET/CT에서 방사성 물질이 간암에만 선택적으로 uptake됨
75세 남자 환자 16cm 거대 간암이 방사선 색전술 5개월 후 영상에서 완전히 괴사되고 크기 감소

담도 협착 스텐트 설치술

급성 출혈의 인터벤션 치료

50세 여자 자궁경부암 방사선 치료후 발생한 급성 출혈에 대한 미세코일 색전술

냉동제거술 Cryosurgical Ablation

폐암 적용87세 여자 환자로 좌상엽의 폐암에 대해 냉동치료 시행
폐암 적용82세 남자 환자로 우상엽의 폐암이 냉동치료 6개월 후 사라짐
신장암 적용69세 남자 환자, 좌측신장의 3cm 신장암에 대해 냉동치료 1년 후 크기 감소 및 석회화됨(완치)

말초삽입 중심정맥관, 투석용카테터

중재적 시술의 종류

혈관계 인터벤션 Vascular Intervention

혈관계 시술은 동맥 또는 정맥에 가는 관(카테터)을 삽입하여 혈류 이상이나 혈관 질환을 치료하는 방법입니다.

혈관계 인터벤션에 대한 내용으로 동맥 협착 치료, 혈관 출혈 치료, 중심정맥관 설치에 관한 내용을 나타내는 정보표
동맥 협착 치료 혈관 출혈 치료 중심정맥관 설치
  • 혈관 성형술
  • 투석관 개통술
  • 동맥 기형 색전술
  • 위궤양 출혈
  • 정맥류 출혈
  • 소장 대장 출혈
  • 수술 후 출혈
  • PICC
  • Perm Catheter
비혈관계 인터벤션 Non-Vascular Intervention

비혈관계 시술은 혈관 이외의 신체 부위(복부, 흉부 등)에 영상 유도하에서 가는 바늘이나 관을 삽입해 체액 배액, 조직 검사, 종양 치료 등을 시행하는 방법입니다.

비혈관계 인터벤션에 대한 내용으로 배농 배액술, 각종 종양의 조직 검사에 관한 내용을 나타내는 정보표
배농 배액술 각종 종양의 조직 검사
  • 담도 담즙 배액술
  • 담낭 배액술
  • 간농양 배농
  • 흉수, 복수 배액술
  • 간, 담도암
  • 폐암
  • 기타 복강내 종양
종양 인터벤션
종양 인터벤션에 대한 내용으로 경동맥 색전술, 국소 소작/제거술에 관한 내용을 나타내는 정보표
경동맥 색전술 국소 소작/제거술
  • 간암 화학색전술
  • 간암 방사선 색전술
  • 방광암, 신장암의 술전 색전술
  • 고주파 소작술
  • 마이크로파 소작술
  • 냉동제거술
  • 알코올 경화술

자기공명영상(MRI)

자기공명영상(MRI)실 소개

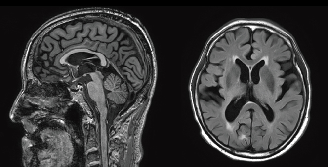
필립스사 Philips Ingenia Elition X는 최첨단 AI 기반 3.0T 기종으로 AI 기반 고해상도 기술과 3.0 테슬라 (3.0T) 고자장 시스템으로 더욱 정밀하고 편안한 영상진단 서비스를 제공합 니다. AI 기술이 접목된 SmartSpeed 기술과 Compressed SENSE 가속 기술을 통해 검사 시간을 획기적으로 단축하며 동일한 검사 시간 내에 더 높은 공간 해상도를 구현하여 미세 한 병변까지 정밀하게 진단할 수 있습니다.

자기공명영상(MRI) 이란?

강한 자기장과 고주파를 이용하여 자석 장치속에 누워있는 환자 에게 고주파 (Radio Frequence Pulse)를 보낸 후 인체 내 각 조직(물, 지방, 근육, 혈관 등) 속에 있는 수소 원자핵으로부터 발생되는 영상 신호를 컴퓨터로 재구성하여 인체의 모든 단면 영상을 입체적으로 얻을 수 있는 최첨단 의료 장비입니다.

자기공명영상(MRI)의 검사 부위 및 적응증

뇌 및 두경부

검사 부위
뇌, 뇌혈관, 안와(눈 주변), 귀(측두골),복(경부) 림프절, 갑상선 등
적응증
뇌졸중 (뇌경색, 뇌출혈), 치매, 뇌종양 진단, 뇌혈관 질환 (동맥류, 혈관 폐쇄 등), 다발성 경화증, 뇌염, 뇌기형 등 신경계 질환, 두통의 원인 파악 (다른 원인 배제 시

척추 및 신경계

검사 부위
목(경추), 등(흉추), 허리(요추), 엉치(천추) 등 척추 전체 및 척수, 신경근
적응증
추간판 탈출증 (디스크) 및 척추 협착증 척추 종양, 감염성 척추염, 골수암 및 암 전이 진단신경근 압박으로 인한 통증의 원인 파악

근골격계 및 관절

검사 부위
어깨, 무릎, 발목, 손목, 고관절 등 모든 관절 부위 및 주변 근육, 인대 적응
적응증
인대파열, 연골 손상 등 관절 이상 평가, 무혈성 괴사, 골수암, 골절 (X-ray로 확인 어려운 경우) 근육파열, 염증, 연조직 종양 진단

복부 및 골반

검사 부위
간, 담당, 췌장, 신장, 비장, 부신, 자궁, 난소, 전립선, 방광 등
적응증
간암, 췌장암, 자궁경부암 등 각종 장기 내 종양의 발견 및 병기 결정, 염증성 질환 (크론병 등) 췌장 낭종, 자궁근종 등 여성 생식기관 이상

심혈관

검사 부위
심장, 대동맥, 주요 혈관
적응증
심근 허혈, 심근증, 염증성 질환 진단 동맥류나 혈관 협착 등 혈관 질환 진단 (MRA 이용)
자기공명영상(MRI)의 특징
  • 검사로 인한 방사선 피폭이 전혀 없는 안전한 검사이며, 필요한 경우 반복 검사가 가능합니다.
  • 환자의 자세를 바꾸지 않고도 다양한 각도의 단면 영상을 얻을 수 있으며, 이는 병변의 위치와 크기를 입체적으로 파악하는 데 큰 도움이 됩니다.
  • 각 연부조직, 근육, 인대, 신경, 뇌, 장기 등을 매우 선명 하게 볼 수 있습니다.
  • 조직 간의 대조도가 뛰어나 미세한 병변이나 초기 변화를 감지하는 데 효과적입니다.
  • 단순히 구조적인 문제뿐만 아니라, 혈류의 흐름, 조직 내 수분의 이동, 신경 활성도 등 조직의 기능적인 상태에 대한 정보도 함께 제공할 수 있습니다. (예: 뇌 기능 검사 등)
자기공명영상(MRI) 검사 유의사항
  • 검사 시간은 20분 ~ 60분 정도 소요됩니다.
  • 조영제를 사용하는 MRI 검사는 조영제 부작용을 줄이기 위해 6시간 전부터 금식이 필요합니다.
  • 검사가 시작되면 강한 소음이 발생합니다. (검사 시 헤드폰 및 귀마개를 착용합니다.)
  • 원통형 장치 안에서 검사하므로 폐소공포증이 있으신 분들은 검사가 어려울 수 있습니다.
  • MRI 검사실 안은 강한 자장이 발생하는 구역이므로 틀니, 보청기, 벨트, 휴대폰, 뇌동맥류 클립, 인공심박동기, 인슐린 펌프 등을 부착하신 분들께서는 검사 전 반드시 직원에게 말씀해 주시기 바랍니다.

초음파 검사

초음파 검사 장비

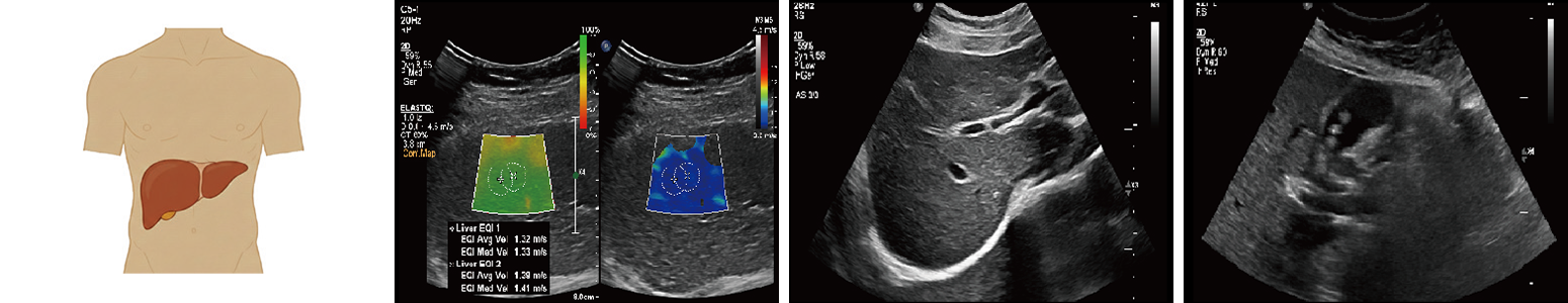
필립스(Philips)사의 EPIQ Elite는 뛰어난 화질과 고성능을 갖춘 프리미엄 초음파 진단 장비로, nSight 영상 처리 기술을 통해 빠르고 정확한 고해상도 영상을 제공합니다.
특히 유방암 진단에 특화된 탄성초음파 기능, 미세 혈류를 잡아 내는 MFI(MicroFlow Imaging), 그리고 간 섬유화 검사 기능 (Auto ElastQ) 등 정밀진단 기능과 다양한 임상 적용으로 복부, 갑상선, 심장, 유방 등 다양한 임상 영역에서 활용 가능합니다.
정확한 진단뿐만 아니라 중환자실이나 수술 후 환자의 중재적 시술에도 유용합니다.

초음파 검사란?

고주파 음파(waves)를 이용하여 신체 내부의 구조를 시각화 하는 방법으로 초음파를 생성하는 탐촉자를 검사 부위에 밀착 시켜 초음파를 보낸 다음 되돌아오는 초음파를 실시간으로 영상화하는 검사입니다.

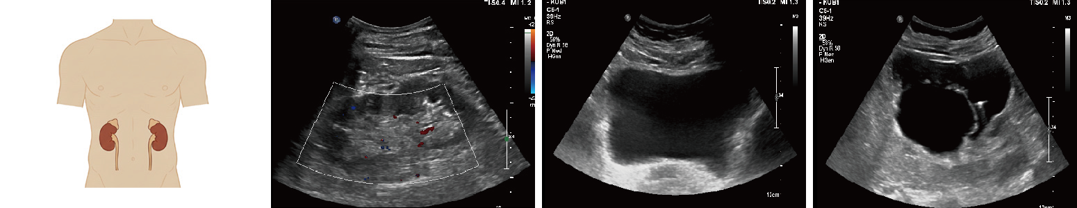
복부초음파

하복부초음파

양쪽 신장과 하복부의 장기(방광, 난소, 자궁, 전립선 등)검사 가능

갑상선초음파

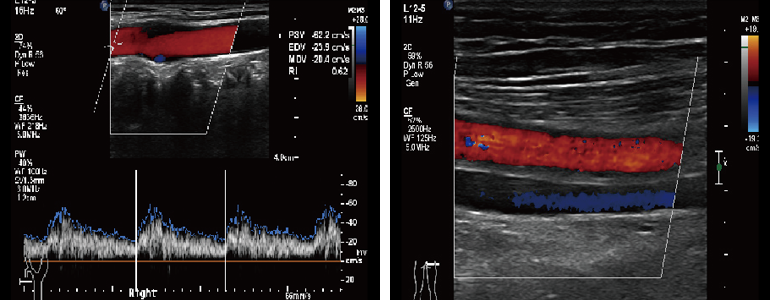
경동맥, 하지 정맥 초음파

유방 초음파 검사

초음파 검사의 장점
  • 비침습적
    수술이나 기타 침슥벚ㄱ인 방법 없이 검사가 가능하여 환자에게 부담이 적습니다.
  • 안전성
    방사선이 사용되지 않아서 임산부와 아기에게도 안전하게 실시할 수 있습니다.
  • 실시간 영상 제공
    실시간으로 이미지를 제공하므로 신속한 판단이 가능합니다.
  • 다양한 활용 분야
    임신 모니터링, 장기 검사, 심장 검사, 혈관 검사 등 다양한 진단 분야에서 사용됩니다.
초음파 검사 전 준비 사항
  • 복부 초음파 검사는 일반적으로 음식을 먹지 않고 6~8시간 전까지 금식할 것을 권장합니다.
  • 하복부(골반) 초음파 검사는 소변을 3시간정도 참고 검사해 야 합니다.
  • 적절한 복장 : 검사 부위에 쉽게 접근할 수 있도록 편안한 옷을 착용하는 것이 좋습니다.
초음파 검사 과정
  • 상복부, 간초음파 경우 위쪽 상의를 명치까지 올립니다.
  • 하복부, 신장초음파의 경우 하의를 조금 내립니다.
  • 유방초음파의 경우 위쪽 상의와 속옷을 모두 탈의하고 가운으로 갈아 입습니다.