본문 바로가기

언론보도

검색

824 건의 자료가 있습니다.

전국 대학병원 전문의 한자리에, 비뇨기수술 심포지엄 개최
전국 대학병원 전문의 한자리에, 비뇨기수술 심포지엄 개최
제 3회 동남권원자력의학원 비뇨기수술 심포지엄 5/18 개최

전국 대학병원, 비뇨기수술 전문의 한자리에

 







한남 비뇨기수술연구회가 주최하고 동남권원자력의학원 비뇨기과가 주관하는 ‘제 3회 비뇨기 수술 심포지엄’이 5월 18일 오전 9시 30분부터 동남권원자력의학원 대강당에서 열렸다.

이번 심포지엄은 우리나라 비뇨기분야에서 최소침습 수술을 시행하고 있는 비뇨기과 의사 50여명이 한자리에 모여 "전립선 비대증 및 전립선암의 수술"에 대한 최신 지견을 발표했다.

한남비뇨기수술연구회 이완 회장(동남권원자력의학원 로봇수술센터장)은 "비뇨기 심포지엄에서는 본인이 직접 집도한 수술 동영상을 공개하며, 성공사례만 발표하는 것이 아니라 문제점도 공유하면서 실질적으로 비뇨기과 의사들의 수술 테크닉을 공유하고 노하우를 전수하는 자리이다"고 밝혔다.

세션 1, 2에서는 “전립선 레이져 수술”에 대해 부산대 신동길, 박현준 교수와 인제대 정재승 교수, 메리놀병원 성열근 과장이 발표하고, “복강경과 로봇을 이용한 전립선 암수술”을 주제로 동아대 김태효 교수와 한양대 이승욱·박성열 교수, 카톨릭대 홍성후 교수, 동남권원자력의학원 이완 교수가 발표를 진행했다. 또한 부산대 남종길 교수와 성균관대 한덕현 교수가 “요도 스텐트”에 대한 내용을 발표했다.

스페셜 강의로 호르몬 불응성 전립선암의 향후 치료에 대해 한림의대 유창희 교수의 강의가 있었다.

이완 회장은 “최소침습 수술을 활발히 실시하는 40대 전후의 전국 대학병원 교수와 대형병원 비뇨기과 의사들의 실제적인 학문 및 수술 기술을 교류하는 장을 마련한다는 점에서 큰 의미를 지니고, 우리나라 비뇨기 수술을 한 단계 더 업그레이드하는 뜻 깊은 시간이 될 것이다”고 기대를 나타냈다.

 
  • 작성일 2013.05.20
  • 조회수 548
동남권원자력의학원 핵의학 심포지엄 개최
동남권원자력의학원 핵의학 심포지엄 개최
동남권원자력의학원 핵의학 심포지엄 5/10(금) 개최Hybrid 영상의 최신지견 교류의 장 마련



부・울・경 핵의학 연구회(회장 양승오)와 동남권원자력의학원이 공동 주최한 ‘핵의학 심포지엄’이 10일 오후 3시, 동남권원자력의학원 2층 대강당에서 열렸다. 

이번 심포지엄은 변화하는 의료환경에 발맞춰 Hybrid영상의 최신지견과 의학정보를 교류하기 위한 것으로, 한국원자력의학원(김병일 과장), 서울대학교의과대학(구진모 교수), 인제대학교 부산백병원(배상균 교수)에서 핵의학과․영상의학과 교수들이 참여해 열띤 강연과 토론을 펼쳤다.

이번 심포지엄은 종양의 화학적치료와 PET-MRI1) 검사의 연계, PET-MRI를 이용한 전립선암의 조기 발견, 방사선 피폭 선량 감소를 위한 방안 및 연구 등 다양한 주제로 이루어졌다. 양승오 회장은 “핵의학융합영상과 관련된 다양한 주제발표를 통해, 최신 암 진단법과 임상결과들을 공유하는 장이 되었다”고 밝혔다.

=====================================================================================================

1)PET-MRI는 초고감도 분자영상을 보여주는 PET과 고해상도 기능적 영상이 가능한 MRI를 결합한 융합 분자 영상 시스템이다. PET-MRI는 기존 PET-CT에 비해 방사선 피폭 저감, 환자 편의성 향상 등의 장점이 있다.
  • 작성일 2013.05.13
  • 조회수 502
당뇨 때문에 간암 발견, 정기적 초음파 도움
당뇨 때문에 간암 발견, 정기적 초음파 도움
초기 간암, 당뇨 검사 중 우연히 발견하여 치료

40대 남성, 초음파 검사하다 간 이상 발견

 



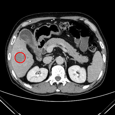
원 안이 간암 부분

 

간암의 생존율은 26.7%(2006-2010, 국가암등록통계)로 매우 낮은 편이지만, 발생 초기에는 진행속도가 매우 느리므로 검진을 통해 조기 발견되면 완치 확률이 높아진다.

동남권원자력의학원에서 지난 2월 간암 절제술을 받은 배00 씨(울산시 울주군, 40세)가 그런 경우이다. 배 씨가 초기 간암을 발견할 수 있었던 것은 높은 당뇨 수치 때문이었다. 배 씨는 “어느 날부터 갑자기 너무 목이 말라서 하루에 물을 4리터씩 마셔대곤 했는데, 이 증상이 보름 이상 지속되어서 병원을 찾았더니 혈당수치가 450이 넘게 나왔다. 당뇨 때문에 췌장 초음파 검사를 하던 도중, 간에 혹이 있다는 이야기를 들었다”고 밝혔다.

이후 동남권원자력의학원 암센터에서 배씨의 검사는 빠르게 진행되었다. MRI 촬영과 혈액검사 결과, 간에서 보인 2.5cm 정도의 혹이 간암으로 밝혀졌다. 수술을 집도한 소화기암센터 외과 임창섭 과장은 “B형 간염도 있어서 조금 이른 나이에 간암이 온 것으로 판단된다. 간 절제술을 시행한 후 순조롭게 회복하고, 현재 외래에서 재발여부 등에 대한 추적관찰 중이다”고 밝혔다.

이에 배씨는 “높은 혈당 때문에 간암을 조기에 발견할 수 있어 정말 운이 좋았다. 간암 치료 뿐 아니라, 450이 넘던 혈당도 이제 85로 뚝 떨어졌다. 지속적으로 식이요법과 금주를 실천하고 있다”고 기쁨을 감추지 못했다. 또 “좋은 의사 선생님을 만나서 암 치료도 하고, 건강을 되찾은 것이 축복이라 생각한다. 혹시 간염이 있는 분은 꼭 주기적으로 초음파 검사를 받으시라고 말씀드리고 싶다”고 밝혔다.



복강경으로 간암 수술 중인 임창섭 과장

 

한편, 간암의 경우 크기가 두 배로 커지는데 4개월 정도가 걸리기 때문에, 조기진단을 통하여 암의 진행을 막기 위해서는 정기적인 검진이 필수적이다. 우리나라에서는 비교적 간암의 정기적인 검진이 소홀하여 조기 진단되는 경우가 20%가 채 되지 않는 것으로 보고되고 있다(국립암정보센터 2011).

동남권원자력의학원 소화기암센터 외과 임창섭 과장은 “간암은 주로 만성 바이러스성 간염 (B형 또는 C형 간염)이나, 과도한 음주 습관 등의 위험 요소를 가지고 있는 사람들에서 발생하며, 위험 요소를 가지고 있지 않은 일반인에게서는 잘 생기지 않는 특징을 가지고 있다”며 “우리나라의 경우 간암 환자의 약 70% 정도는 B형 간염, 약 10% 정도는 C형 간염 바이러스와 연관이 있으므로 간염 환자의 경우 정기적인 검진이 필요하다”고 강조했다.

간암 발생의 위험도가 높은 B형, C형 간염 보균자, 간경화 환자들은 6~12개월 간격으로 혈액 내 간암표지자(알파태아단백) 검사와 복부초음파 검사를 시행하는 것이 간암을 조기 진단하는 데 도움이 되며, 이러한 선별검사를 통해 조기 진단된 환자의 경우, 더 높은 장기 생존율을 기대할 수 있다.

 
  • 작성일 2013.05.07
  • 조회수 571
이수용 의학원장 2013 대한병원협회장상 수상
이수용 의학원장 2013 대한병원협회장상 수상
이수용 의학원장 2013년도 대한병원협회장상 수상

2013 부산시병원회 정기 총회 및 세미나에서 시상식 열려

 



동남권원자력의학원 이수용 의학원장이 4월 26일 파라다이스호텔 부산에서 열린 ‘2013년도 부산시병원회 정기총회 및 세미나’에서 대한병원협회장상을 수상했다.

 이수용 의학원장은 헌신적인 봉사정신으로 국민 보건향상과 지역의 병원계 발전에 이바지한 공로를 인정받아 이번 상을 받았다.

 대한병원협회장상은 보건의료 발전과 병원 경영 환경 개선에 크게 기여한 병원장 등 ‘의료인’을 발굴하여 그 공적을 치하함으로써 참된 병원인의 상(像)을 널리 알리고자 제정되었다

 한편, 이날 세미나에서는 제석봉 대구가톨릭대학교 명예교수 ‘조직 내에서의 효율적 커뮤니케이션 전략’, 보건복지부 보건의료정책과의 ‘2013년도 보건의료정책 방향’ 등 다양한 주제의 학술대회가 열렸다.

 
  • 작성일 2013.05.02
  • 조회수 484
과학축전 놀러오세요~ 우주식품 시식 기회!!
과학축전 놀러오세요~ 우주식품 시식 기회!!
제12회 부산과학축전, 4/20~21, 양일 간 궁리마루

의학원, 암 전시 및 체험 & 우주 식품 시식 행사

 



동남권원자력의학원(의학원장 이수용)이 4월 20일부터 이틀간 전포동 궁리마루에서 열리는 제12회 부산과학축전에 참가하여 지역학생과 일반 시민을 대상으로 유익한 체험행사를 제공한다.

동남권원자력의학원은 이번 행사에서 위암, 대장암, 유방암, 갑상선암, 간암 등 실제 암 조직을 전시하고, 유방암 검진모형 체험을 통해 자가검진의 중요성을 강조할 예정이다. 

또한 한국원자력연구원이 우주식품 제조기술을 활용하여 개발한 특수식품을 전시하고, 특수식품시식과 함께 상품 추첨을 매일 11시, 1시, 3시에 제공할 예정이다. 특수식품으로는 전주비빔밥, 한우불고기, 과일칩 등이 선보여질 예정이어서 우주식품에 대한 호기심을 풀어줄 예정이다.

12회 부산과학축전은 "사이언스 노메드(과학 유목민)"이라는 주제로 동남권원자력의학원 등 정부출연연구기관 8곳과 기업, 과학관, 대학교 등 총 56개 단체가 참가하며, 테마별 부스 운영을 통해 다양한 과학기술과 첨단산업체험을 제공한다. 특히 토요일 오전 11시에는 개그콘서트 '아빠와 아들'팀 등의 수학토크콘서트가 예정되어 있어 즐거움이 배가 될 것으로 기대된다.

 
  • 작성일 2013.04.19
  • 조회수 474
핑크리본 마라톤 대회 더욱 빛낸 사람들
핑크리본 마라톤 대회 더욱 빛낸 사람들
제13회 핑크리본 마라톤 대회 속,  빛났던 나눔애사랑 환우회

동남권원자력의학원 유방암환우회 나눔애 사랑, 축하무대 장식

 



‘2013년 핑크리본 사랑 마라톤’이 4월 14일 오전 수영만 요트경기장 일원에서 성황리에 열린 가운데, 동남권원자력의학원 유방암환우회 나눔애 사랑이 마라톤 참가는 물론, 축하 합창무대를 선사하여 대회를 더욱 빛냈다.

동남권원자력의학원에서는 전창완 유방암센터장을 포함한 의료진 뿐 아니라, ‘나눔애사랑’ 유방암 환우회원 70여 명이 마라톤에 직접 참가(10km 5명, 5km 60여명)해 완주메달을 목에 걸며 기쁨을 나눴다.

또한 나눔애사랑 회원들은 대회 후 열린 축하무대의 첫 순서를, 합창으로 멋지게 장식하며 감동을 안겨주었다. 전창완 동남권원자력의학원 유방암센터장은 “환우들과 함께 달리면서 암 극복의지를 불태웠다. 나눔애사랑 환우회가 멋진 무대를 선사하기 위해 그동안 열심히 연습했다. 전국의 모든 유방암 환우들에게 희망의 메아리가 되었기를 바란다”고 밝혔다.  

한편, 이번 핑크리본 마라톤에는 시민 5,000여 명이 참여해 부산을 핑크빛으로 물들였으며, 부산을 시작으로 5월 대전, 6월 광주, 9월 대구, 10월 서울로 이어지는 릴레이 마라톤 행사로 대회 참가비 전액은 저소득층 유방암 환우를 위한 수술 치료비 지원 등에 쓰인다.
  • 작성일 2013.04.18
  • 조회수 472
환우 산책로 더 아름답게 - 식목일 묘목 심기 행사
환우 산책로 더 아름답게 - 식목일 묘목 심기 행사
환우 위한 아름다운 산책로 조성

식목일 묘목 심기 동남권원자력의학원 치유의 정원



동남권원자력의학원(의학원장 이수용)이 4월 5일 식목일을 맞아 ‘환우를 위한 아름다운 산책로 조성, 묘목 심기 행사’를 마련한다. 이날 행사에는 이수용 동남권원자력의학원장과 (사)생명의 숲 윤경태 사무국장 외 임직원 40여 명이 함께한다. 동남권원자력의학원은 이번 행사를 위해 (사)생명의 숲으로부터 편백나무 200주와 산딸나무 60주, 소나무 300주 등을 기증받았으며, 직원 40여명이 자발적으로 행사에 참가하여, 산책로를 따라 한 주 한 주 정성껏 묘목을 심을 예정이다. 이수용 동남권원자력의학원장은 “치유의 정원에 심어진 묘목은 환자들이 치유받고 행복하길 바라는 의학원 전 직원의 마음이다. 수백 주의 묘목이 쑥쑥 자라 아름다운 산책로가 되듯, 암환자들도 치유 받으시길 바란다“고 전했다.
  • 작성일 2013.04.15
  • 조회수 457
동남권원자력의학원, 부산대학교병원과 손잡다
동남권원자력의학원, 부산대학교병원과 손잡다
동남권원자력의학원, 부산대학교병원과 손잡다

공공의료의 핵심인 두 기관, 지역 환자 위해 적극 협력

 



동남권원자력의학원과 부산대학교병원이 4월 3일 오후 3시 부산대학교 병원에서 진료 분야 협력을 위한 협약을 체결했다.

이번 협약식에는 동남권원자력의학원 이수용 의학원장과 부산대학교병원 정대수 병원장 등 주요 관계자 10여명이 참석했다.

협약을 통해 양 기관은 향후 ▲ 진료의뢰 환자에 대한 편의제공 및 의학정보 교환 ▲ 각종 학술대회 및 교육 참여 기회 제공 ▲ 의료정보시스템 개발 및 구축 지원 ▲ 환자 진료를 위한 인적 및 기술적 지원 등 다양한 분야에서 적극 협력할 방침이다.

동남권원자력의학원 이수용 의학원장은 “양 기관 간 협력은 지역의 건강증진과 의학발전에 크게 기여할 것이며, 특히 공공의료서비스 향상이라는 공동의 목표를 향해 협력하는 계기가 될 것이다”고 밝혔다.
  • 작성일 2013.04.04
  • 조회수 556

첫페이지 76 77 78 79 80 마지막페이지